- 福岡市中央区の歯医者「渡辺通駅加納歯科クリニック 福岡」TOP >
- 医院コラム(一覧) >
- 【症例】差し歯の根元が黒くなってきた患者様の治療|差し歯のやり直し・交換
【症例】差し歯の根元が黒くなってきた患者様の治療|差し歯のやり直し・交換
福岡市博多 渡辺通駅 加納歯科クリニックです。
鏡を見たとき、差し歯の根元が黒くなっていることに気づいたことはありませんか? 「見た目が気になる」「なんだか臭いがする気がする」……そんなお悩みを抱えて来院される患者様が多くいらっしゃいます。
今回は、実際に加納歯科クリニックで治療を行った症例をもとに、差し歯の根元が黒くなる原因と対処法についてご説明します。
症例紹介|33歳女性・前歯の差し歯をやり直したい

来院のきっかけ
「以前に治療した前歯の差し歯が気になる。根元が黒くなってきたし、古くなってきたのでやり直したい」というご希望で来院された33歳の女性患者様です。
見た目の問題だけでなく、根の中の状態も確認が必要なケースでした。
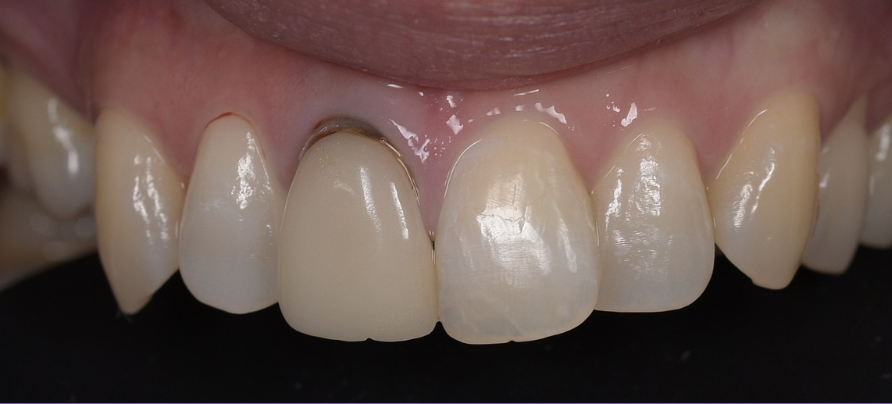
治療前の状態

お口の中を確認すると、差し歯の根元に黒ずみがあり、歯茎との境目が目立つ状態でした。レントゲンを撮影すると、根の先端に細菌感染による病巣(黒い影)が確認されました。
上の被せ物(差し歯)だけを交換しても、根の中が汚染されたままでは「臭いものにふたをする」だけになってしまいます。
しっかりと咬める状態を長く保つためには、根管治療(根の治療)から行うことが必要と判断しました。
治療の流れ
- 根管治療(根の治療) 感染した根の中を丁寧に清掃・消毒し、根の先端の細菌を除去します。治癒経過を確認しながら数か月かけて丁寧に進めます。
- 仮歯の装着 治療期間中もしっかりした仮歯を装着しますので、前歯がない状態で過ごす心配はありません。
- 差し歯(セラミック)のやり直し 根管治療が完了し、根の先端の骨が回復したことを確認してから、最終的なセラミックの差し歯を装着しました。
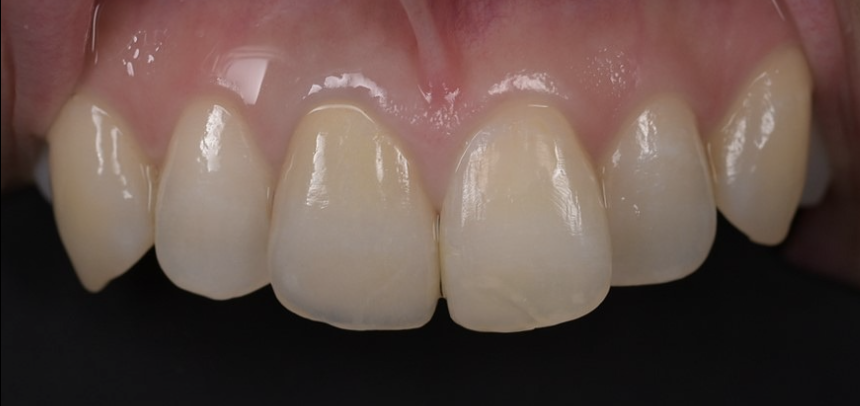
治療後の状態


根管治療後のレントゲンでは、根の先端にあった黒い影(病変)が消え、骨が再生されていることが確認できました。
新しいセラミックの差し歯は自然な白さで、根元の黒ずみも解消。しっかり咬める状態が長く続く土台ができあがりました。
差し歯の交換は、しっかり根管治療を行うことで、根の先のバイ菌もなくなり、骨が戻ってきます。これなら今後もしっかり咬める状態が続きます。
差し歯の根元が黒くなる理由

差し歯の根元が黒くなる原因は、大きく分けて3つあります。それぞれの特徴を理解することが、適切な対処への第一歩です。
差し歯の素材(金属の溶け出し)による黒ずみ
以前に治療した差し歯の多くは、「メタルコア(金属の土台)」や「金属製のクラウン」が使われています。年月とともに金属が溶け出し、歯茎や歯の根元が黒く変色することがあります。
特に保険適用の差し歯に使われる銀合金は、唾液や体液に反応して金属イオンが溶出しやすいため、長年経過すると根元の黒ずみが目立ちやすくなります。
歯茎が下がることで根元が露出している
加齢や歯周病の進行によって歯茎が退縮(下がる)すると、差し歯と歯根の境目が見えてくることがあります。この部分はもともと差し歯の内側に隠れていた金属や歯根の色が露出するため、黒く見えてしまいます。
見た目の問題だけでなく、歯根が露出することで虫歯や知覚過敏のリスクも高まります。
根の中の細菌感染(根尖病変)
差し歯の中の根(歯髄・神経)が細菌に感染していると、根の先端に膿の袋(根尖病巣)ができることがあります。
この場合、歯茎が黒っぽく変色したり、差し歯の根元あたりがぷっくりと腫れることがあります。
根尖病巣は放置すると骨まで溶かしてしまうことがあるため、早めの対処が重要です。
差し歯の根元が黒くなったときの対処法

差し歯の根元が黒く見える場合は、見た目だけで原因を判断するのは難しいものです。
汚れだけのこともあれば、差し歯の劣化や虫歯、金属の影響が関係していることもあります。自己判断で放置せず、原因に合った対処を行うことが大切です。
まずは黒く見えている原因を歯科医院で確認する
差し歯の根元が黒いからといって、必ずしも虫歯とは限りません。汚れや着色、歯ぐきの変色、差し歯の劣化など、さまざまな原因が考えられます。
適切な対処をするためにも、まずは歯科医院で原因を確認してもらいましょう。
差し歯のすき間や汚れが原因ならクリーニングを受ける
差し歯と歯ぐきの境目には、汚れや着色がたまりやすい傾向があります。この場合は、歯科医院でクリーニングを受けることで改善が期待できます。
無理に自分でこすったりせず、専門的なケアを受けることが大切です。
土台や被せ物の劣化がある場合は差し歯を作り直す
差し歯や土台は、長年使ううちに劣化することがあります。すき間ができたり、内部の変色が見えたりして、根元が黒く見えることもあります。
このような場合は、差し歯を作り直す治療が必要になることがあります。
虫歯や歯ぐきの炎症がある場合は先に治療を行う
差し歯の根元の黒ずみが、虫歯や歯ぐきの炎症によるものである可能性もあります。
こうした場合は、見た目だけを整えるのではなく、まず原因となっている虫歯や歯周病の治療を優先することが大切です。
金属による変色が疑われる場合は素材の変更を検討する
金属を使った差し歯では、金属の影響で歯ぐきが黒ずんで見えたり、根元が暗く見えたりすることがあります。
この場合は、クリーニングでは改善しにくいため、必要に応じてセラミックなど金属を使わない素材への変更を検討します。
加納歯科クリニックでは、差し歯のやり直しから根管治療まで幅広く対応しています

差し歯の根元が黒くなる原因は、今回ご説明したとおりさまざまです。「見た目だけの問題」と放置してしまいがちですが、根の中で静かに進行している感染や、じわじわと溶け出す金属の影響は、見た目では気づきにくいもの。
気になったときに、すぐに相談することが大切です。
歯に関してのお悩みはお気軽にご相談ください
差し歯の根元の黒ずみが気になっている方、昔入れた差し歯が古くなってきた方、他院で抜歯と言われてあきらめかけている方——まずはお口の中の状態を確認するところから始めましょう。
「どうすればいいか」は、診てみないとわかりません。お気軽にご相談ください。















